Diş beyazlatma
Genel bakış
- Kategori: Diş Hekimi , Hizmetler , Medikal , Medikal & Güzellik
Özellikler:
- Diş beyazlatma
Açıklama
Diş beyazlatma
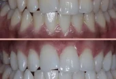
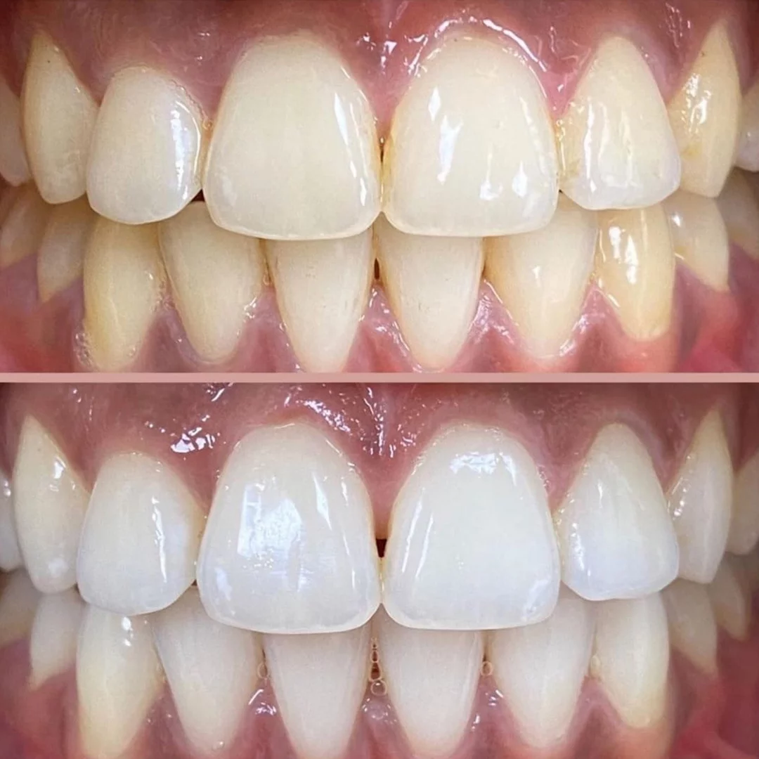
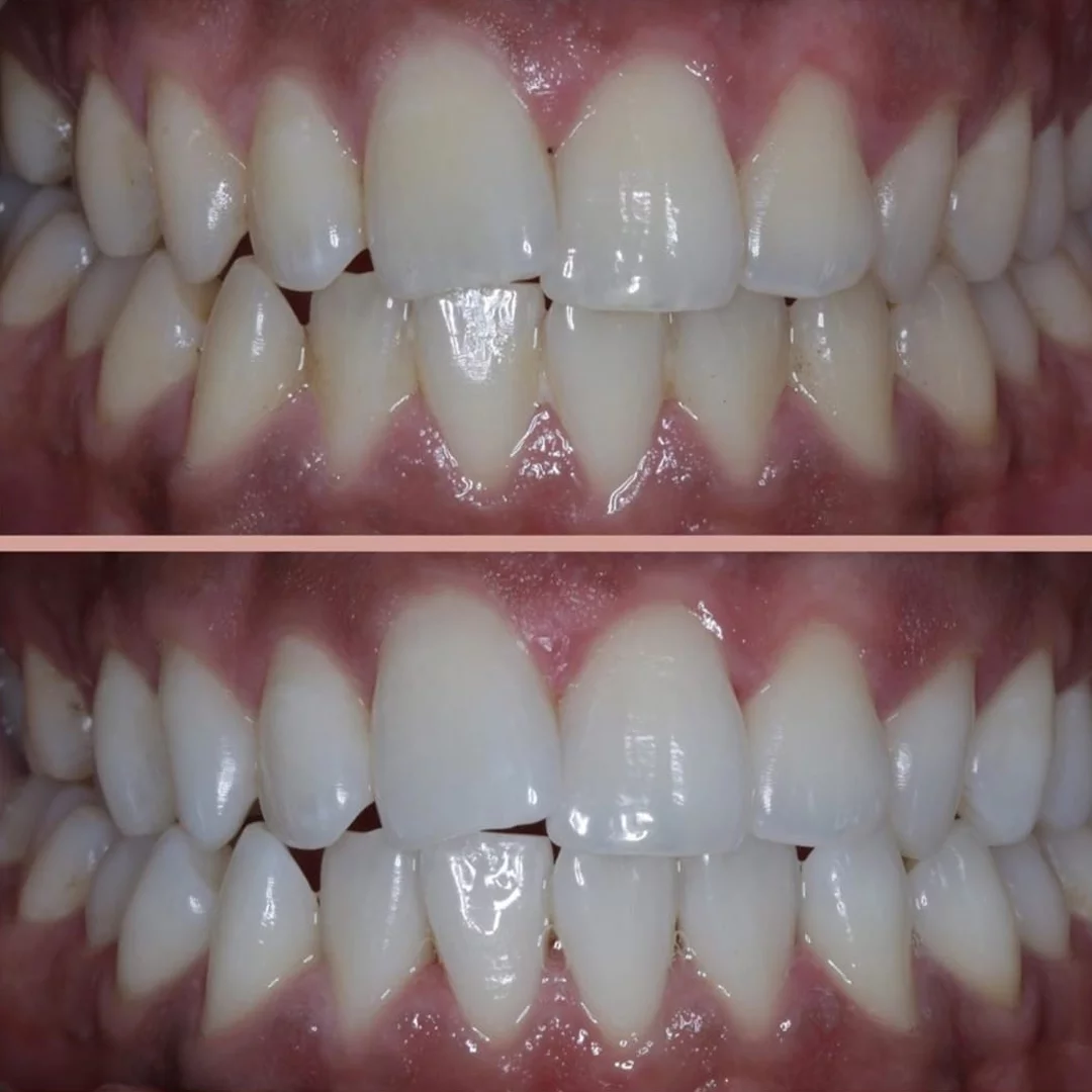
Canlı veya cansız dişlerde bulunan renklenmelerin ve lekelerin yok edilmesine olanak tanıyan müdahale diş beyazlatma olarak bilinir. Özellikle sigara, aşırı tüketilen kahve ve çay, asitli içecekler ve bazı ilaçlar dişlerin renklenmesine sebep olmaktadır.
Bu konuda beyazlatıcı diş macunlarından lazer teknolojisine kadar farklı yöntemler değerlendirilir. Steril klinik ortamında diş hekimleri tarafından gerçekleştirilen beyazlatma işlemi peroksitli maddelerin kullanılması ile yapılmaktadır. Tamamen insan sağlığını koruyucu içerik taşıyan bu maddeler dişlerin beyaz hale gelmesine imkan tanır.
Hastanın onayı ile birlikte öncelikle doğal dişlerin hangi renk olduğu tespit edilir. Bu durum işlem bittikten sonra karşılaştırma yapılmasına olanak sağlar. Daha sonra özel bir cihaz sayesinde, ışınlama tekniği ile beyazlatıcı ajan kontrollü şekilde diş hekimi tarafından dişlere sürülür ve uygulama gerçekleştirilir. Tecrübeli uygulayıcı ile yapılan beyazlatma işlemi sonrası hasta memnuniyeti oldukça tatmin edicidir.
Daha estetik bir gülüş sağlar.
Diş beyazlatma birkaç ton açma avantajı sağlar.
anahtar kelimeler: diş hekimi, diş kliniği, dişler, gülümseme
Çalışma saatleri
| Açık | Kapat | ||
|---|---|---|---|
| Pazartesi | Açık (24 saat) | ||
| Salı | Açık (24 saat) | ||
| Çarşamba | Açık (24 saat) | ||
| Perşembe | Bugün Açık (24 Saat) | ||
| Cuma | Açık (24 saat) | ||
| Cumartesi | Açık (24 saat) | ||
| Pazar | Açık (24 saat) | ||













Bu konuda yorum bırakın
Yorum yazabilmek için giriş yapmalısınız